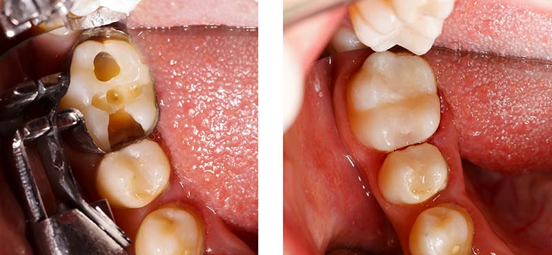
If you have a tooth which is decayed, you likely will need to address it with a filling. There are a number of options available. Depending upon your teeth, extend of the decay, and personal preference, we may suggest a composite filling. Composite fillings, also known white fillings, are typically made of powdered glass and acrylic resin and are more popular nowadays because they can be matched to the color of your own teeth. Our dentist will clean away the decay in the teeth and then fill the cavity with this strong material which restores the tooth. Why wait any longer to have a beautiful smile. Schedule an exam today!

View Free New Patient Exam Special  

dental-patient-youngermaninpark
Schedule Your Appointment Online   Book It Now

About Composite Fillings

What types of tooth fillings are used apart from composite?

Gold – Gold is the most durable and expensive. Dentists may recommend gold fillings to patients who grind their teeth because they are so hard-wearing.

Silver (amalgam) – Amalgam fillings are less expensive than gold, porcelain or composite material. It is also very strong and long-lasting. Dentists tend to use amalgam for back teeth that have large cavities. It is not tooth colored so it has the disadvantage of not looking natural in your mouth and other people may be able to see it when you are talking or laughing.

Porcelain – If you have a large cavity, but you don’t want to use an amalgam filling, then the alternative is to use porcelain. Porcelain is very strong, it resists heat well and it can be colored to suit the rest of your teeth.

What materials make up composite fillings?

Once your tooth has been cleaned and the decay removed, the composite is applied layer by layer, making sure that the material fits your tooth. The advantage of a white filling is that less of your tooth needs to drilled away during the procedure, which means more of your own tooth is saved.

Why should I choose a composite filling?

Composite fillings are best suited to areas which will be seen when you talk or smile, especially front teeth. They can be colored to suit your other teeth for a natural look.

How does the dentist apply the composite filling?

Once your tooth has been cleaned and the decay removed, the composite is applied layer by layer, making sure that the material fits your tooth. The advantage of a white filling is that less of your tooth needs to drilled away during the procedure, which means more of your own tooth is saved.

Are composite fillings expensive?

They are more expensive than amalgam fillings, but since they look virtually identical to your own teeth, they are a popular choice for those people who prefer a natural look.

Do they stain?

Unfortunately, yes, if you drink a lot of red wine or tea they will begin to discolor. However, you can have a coating of clear plastic put over the composite to protect its color, if you prefer.

How long will composite fillings last?

They will last around ten years, if you have good oral hygiene and take care of your teeth. They are not quite as strong as amalgam, but they are durable and look much better.

If you need filling in your teeth, talk to your dentist about the options that are available to you. He or she will advise you on the best type of material to use for the type of cavity you need filling, together with the cost of the procedure.

composite-filling-before-after

Composite fillings are best suited to areas which will be seen when you talk or smile, especially front teeth. They can be colored to suit your other teeth for a natural look.

Do you have a dental emergency?
Call the nearest office listed below.